Tin tức
- Trang chủ
- Tin tức
5 dấu hiệu cho thấy bạn cần nhổ răng
Nhổ răng vĩnh viễn là điều mà không ai mong muốn. Hầu hết các bác sĩ sẽ sử dụng các phương pháp ưu tiên giữ răng thật nhưng trong một số trường hợp bác sĩ sẽ phải thực hiện nhổ bỏ để tránh biến chứng và cân nhắc trồng lại răng sau đó. Bài viết dưới đây tôi sẽ đưa cho bạn 5 dấu hiệu cho thấy bạn cần thực hiện nhổ răng nhé!
1. Răng bị sâu nặng không thể phục hồi
Khi răng bị sâu ở mức độ nhẹ thì bác sĩ có thể cân nhắc hàn răng hoặc bọc răng sứ. Tuy nhiên trong những trường hợp răng bị sâu nghiêm trọng, răng bị phá hủy gần như toàn bộ thân răng và lan đến tủy răng, các phương pháp điều trị trên không còn hiệu quả thì việc nhổ răng là giải pháp cần thiết để chấm dứt tình trạng viêm nhiễm và đau nhức cho bạn.

Răng bị sâu
Hay trong những trường hợp răng bị sâu đã điều trị tủy nhiều lần nhưng bạn vẫn gặp tình trạng đau nhức kéo dài thì việc giữ lại răng trong trường hợp này cũng sẽ gây ra nhiều biến chứng không mong muốn. Trong trường hợp này bạn có thể gặp tình trạng đau âm ỉ hoẵc đau lên thái dương hay đau khi ăn nhai hàng. Những dấu hiệu này cho thấy rằng đang bị tổn thương ở phần chân răng hoặc mô quanh chóp răng nên nếu giữ lại răng có thể gây nhiễm trùng mãn tính, ảnh hưởng cả sức khỏe toàn thân. Vậy nên những trường hợp này bác sĩ cũng khuyên rằng bạn nên thực hiện nhổ bỏ để trồng răng mới.
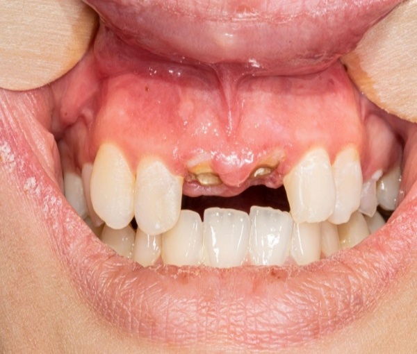
Cận cảnh quá trình trồng implant ngay sau khi nhổ răng cho chị khách hàng tại nha khoa Italiano
2. Răng bị lung lay do bệnh nha chu
Tình trạng viêm lợi nếu như không xử lý kịp thời sẽ khiến bệnh nặng hơn và khiến phần nướu bị tổn thương. Nướu và xương ổ răng sẽ tiêu dần và làm răng bị lung lay, lệch khỏi vị trí ăn nhai hàng ngày. Khi răng không còn chắc chắn thì việc ăn nhai cũng khó có thể đảm bảo được nên trong những trường hợp này nên nhổ bỏ vừa để tránh đau nhức và để ngăn ngừa tình trạng viêm nhiễm các răng xung quanh.

Răng bị lung lay viêm nha chu
3. Răng bị gãy vỡ nghiêm trọng
Trong một số trường hợp bị tai nạn hoặc bị chấn thương khiến cho răng bị gãy vỡ sâu xuống tận chân răng và không thể thực hiện phục hồi bằng phương pháp bọc sứ hay hàn răng thì bác sĩ sẽ phải thực hiện nhổ bỏ răng gãy vỡ đó. Nếu như trong những trường hợp này không thực hiện nhổ thì có thể khiến cho bạn có nguy cơ bị nhiễm trùng và viêm nhiễm chéo, đau nhức kéo dài.

Răng bị gãy vỡ
4. Răng khôn biến chứng
Răng khôn là chiếc răng mọc muộn trên cung hàm, nó mọc khi các răng khác đã mọc lên hoàn chỉnh và thường có tình trạng mọc lệch, mọc lợi trùm hay thậm chí mọc ngầm,… Những tình trạng này sẽ gây đau nhức, ảnh hưởng đến những răng bên cạnh và trong một số trường hợp còn gây tình trạng xô lệch hàm răng. Một số trường hợp do khó vệ sinh khiến cho răng khôn bị sâu hay sưng viêm và gây tình trạng đau nhức. Dù răng khôn mọc thẳng hay mọc lệch mà có biến chứng gây tình trạng sưng viêm và đau nhức thì việc nhổ bỏ là giải pháp tối ưu nhất cho bạn để tránh biến chứng không mong muốn về sau.
Đối với trường hợp nhổ bỏ răng khôn thì bạn sẽ không cần thực hiện trồng lại bởi hàm răng đến răng số 7 vẫn đảm bảo khả năng ăn nhai cho bạn. Nên khi thực hiện nhổ răng khôn bạn không cần phải lo lắng.
Video cận cảnh quá trình thực hiện nhổ răng khôn tại nha khoa Italiano
5. Nhổ răng để phục vụ quá trình chỉnh nha
Bác sĩ sẽ chỉ định bạn nhổ răng hàm nhỏ để lấy khoảng dịch chuyển răng. Trong những trường hợp như răng bị hô chìa, răng khấp khểnh, răng lộn xộn thiếu khoảng,… Sau khi thực hiện nhổ răng bác sĩ sẽ kéo răng bên cạnh về khoảng trống nên bạn sẽ không cần lo lắng về khoảng trống sau khi nhổ răng sau này.
Với nhổ răng để phục vụ quá trình chỉnh nha thì thường là vị trí răng hàm nhỏ số 4, số 5 nên quá trình thực hiện khá đơn giản. Ngoài ra thì còn có một số trường hợp răng thừa và mọc sai lệch trên cung hàm thì cũng phải thực hiện nhổ bỏ để đảm bảo thẩm mỹ và đúng khớp cắn.
Kết luận:
- Trong toàn bộ các trường hợp bạn nhổ răng thì với răng khôn và răng hàm nhỏ nhổ để phục vụ chỉnh nha bạn sẽ không cần phải thực hiện trồng lại còn những trường hợp khác bạn sẽ cần phải thực hiện các phương pháp trồng lại để đảm bảo khả năng ăn uống và thẩm mỹ khuôn mặt. Hiện nay có ba phương pháp sử dụng là trồng răng implant, cầu răng sứ và răng giả tháo lắp. Bạn có thể tham khảo ý kiến bác sĩ về các phương pháp này để lựa chọn phù hợp với tình trạng răng của mình.
- Thêm nữa nếu có những dấu hiệu trên bạn không nên thực hiện nhổ răng tại nhà mà sẽ cân tìm địa chỉ nha khoa uy tín và chụp phim để xác định tình trạng răng. Nếu nhổ răng không đúng chỉ định thì không giúp bảo vệ sức khỏe răng miệng mà còn ảnh hưởng cả sức khỏe tổng thể lâu dài của bạn.
Việc nhổ răng hay không bác sĩ sẽ cân nhắc kỹ trước khi thực hiện và tư vấn cho bạn về toàn bộ vấn đề xung quanh. Do vậy bạn hãy lắng nghe những ý kiến chuyên môn của bác sĩ để cân nhắc có nhổ răng hay không. Nếu bạn có vấn đề về răng miệng cần tư vấn hãy liên hệ với chúng tôi để được hỗ trợ giải đáp nhé!
Xem thêm:
- Công nghệ trồng răng implant không đau
- Có nên nhổ răng khôn mọc lệch hay không
- Điều trị răng sâu như thế nào?
THÔNG TIN NHA KHOA ITALIANO
Cơ sở 1: Số 261 đường Hoàng Văn Thụ, phường Phan Đình Phùng, T.Thái Nguyên.
Cơ sở 2: Số nhà 522 - Phố Chợ 2, xã Đại Phúc, T.Thái Nguyên.( Cạnh cổng chợ Trung tâm Đại Từ)
Hotline: 0974 555 261 - 0976 742 228
Website: italianodental.com/
Facebook: www.facebook.com/Italianodental/
