Tin tức
- Trang chủ
- Tin tức
Bạn có răng nhỏ không? Tìm hiểu về tình trạng răng nhỏ (microdontia)
Microdontia là tình trạng bị một hay nhiều răng bị nhỏ hơn bình thường. Tình trạng này sẽ ảnh hưởng lớn đến thẩm mỹ nụ cười và khả năng ăn uống hàng ngày. Bài viết dưới đây hãy cùng nha khoa Italianao tìm hiểu về tình trạng răng nhỏ và hướng xử lý hiệu quả nhé!
1. Tình trạng răng nhỏ microdontia là gì?
Tình trạng răng nhỏ là tình trạng răng có kích thước nhỏ hơn bình thường. Tình trạng này có thể xuất hiện ở một vài răng hoặc xuất hiện ở nhiều răng trong hàm. Tình trạng này sẽ không chỉ ảnh hưởng đến thẩm mỹ mà còn gây ra một số vấn đề về khớp cắn và sức khỏe răng miệng.
Các trường hợp răng nhỏ thường gặp:
- Tất cả các răng trong miệng đều nhỏ hơn bình thường. Tình trạng này thường hiếm gặp và thường liên quan đến yếu tố di truyền hoặc bệnh lý toàn thân.
- Răng nhỏ một số vị trí, thường gặp ở vị trí răng cửa hàm trên hoặc vị trí răng khôn.
- Răng có kích thước bình thường nhưng do xương hàm lớn nên nhìn răng trông có vể nhỏ so với khuôn hàm.

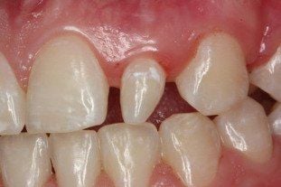
Tình trạng răng nhỏ
2. Những nguyên nhân gây ra tình trạng răng nhỏ
Có rất nhiều nguyên nhân gây ra tình trạng răng nhỏ cụ thể từng nguyên nhân sẽ như sau:
- Yếu tố di truyền: Đây là nguyên nhân thường gặp nếu như trong gia đình có người từng có răng nhỏ thì khả năng cao con cháu cũng có thể gặp tình trạng tương tự.
- Một số hội chứng hoặc bệnh lý bẩm sinh: Một số hội chứng hiếm gặp như Down, Gorlin, Fanconi hay rối loạn nội tiết tố thì có thể đi kèm với tình trạng răng nhỏ.
- Chênh lệch giữa kích thước răng và sương hàm: Những trường hợp răng có kích thước bình thường nhưng xương hàm quá lớn khiến cho răng nhìn nhỏ hơn và thưa.
- Yếu tố sức khỏe và môi trường: Nếu như thiếu chất dinh dưỡng, bệnh lý nhiễm trùng khi còn nhỏ hoặc có tác dụng phụ của thuốc thì cũng có thể ảnh hưởng đến kích thước của răng.
3. Những ảnh hưởng của tình trạng răng nhỏ:
Tình trạng răng nhỏ không chỉ ảnh hưởng đến thẩm mỹ khuôn mặt mà còn kéo theo nhiều hệ lụy sức khỏe khác. Dưới đây là những ảnh hưởng của tình trạng răng nhỏ như sau:
- Ảnh hưởng thẩm mỹ: Do răng nhỏ nên sẽ khiến nụ cười kém cân đối nhất là khi bị ở vị trí răng hàm trên dễ nhìn thấy. Tình trạng này khiến cho gương mặt bị mất hài hòa không cân đối khi cười.
- Ảnh hưởng đến chức năng ăn nhai: Khi răng nhỏ thường kèm theo những khe hở làm quá trình ăn nhai bị giảm hiệu quả. Lâu ngày bạn sẽ có nguy cơ mắc các bệnh lý về tiêu hóa nếu ăn nhai không kỹ.
- Tăng nguy cơ mắc bệnh lý về khớp thái dương hàm gây tình trạng mỏi cơ hàm khi ăn nhai hoặc để ở trạng thái bình thường.
- Tăng nguy cơ bệnh lý về răng miệng do các khe hở của kẽ răng thức ăn sẽ dễ mắc lại, khó vệ sinh và tăng nguy cơ sâu răng, viêm nướu và viêm nha chu.
- Ảnh hưởng đến sự tự tin khi giao tiếp hay khi cười. Điều này ảnh hưởng rất lớn đến công việc cũng như cuộc sống hàng ngày đặc biệt là những người cần giao tiếp nhiều.

Hình ảnh dán sứ veneer cho răng bị nhỏ
4. Cách điều trị tình trạng răng nhỏ
Để khắc phục tình trạng răng nhỏ bạn có thể tham khảo những phương pháp cụ thể như sau:
- Bọc răng sứ hoặc dán sứ: Bác sĩ sẽ chế tác răng sứ theo khuôn răng của mỗi người, răng sẽ thường to hơn để khép kín lại khe thưa, cải thiện thẩm mỹ của hàm răng. Với phương pháp dán sứ thì bạn sẽ phải tạo hình răng khá ít hơn so với bọc răng sứ bởi miếng dán sứ khá mỏng. Tuy nhiên bạn cũng không cần quá lo lắng bởi quá trình tạo hình răng sẽ vẫn đảm bảo độ chắc chắn của răng sau khi thực hiện làm răng sứ.
Thời gian thực hiện sẽ mất 2 buổi hẹn và trong khoảng 3 ngày để hoàn thiện răng. Độ bên của phương pháp này khá cao, có thể từ 10 năm đến vài chục năm nếu chăm sóc và bảo dưỡng đúng cách.
- Hàn thẩm mỹ( Trám răng thẩm mỹ): Phương pháp này bác sĩ sẽ phủ vật liệu trám răng được làm bằng composite để phủ lên trên răng để làm to răng hơn, che khít lại những khe thưa trên răng. Phương pháp này chỉ cân thực hiện trong 1 buổi hẹn, mức chi phí thấp nhưng nhược điểm là có độ bền không cao và dễ bị bong bật khi ăn nhai mạnh.
- Niềng răng: Sắp lại đều vị trí răng nhỏ gây sai lệch khớp cắn hay gây thưa. Thời gian thực hiện sẽ từ 12- 24 tháng hoặc có thể lâu hơn nếu răng gặp tình trạng khó. Phương pháp này có độ bền trọn đời, bạn cần tuân thủ theo hướng dẫn của bác sĩ để có hiệu quả cao nhất.
- Kết hợp nhiều phương pháp: Trong những trường hợp răng sai vị trí thì sẽ phải nhổ đi và căn chỉnh lại bằng phương pháp chỉnh nha. Sau đó nếu răng có kích thước quá nhỏ thì sẽ phải bọc răng sứ để đảm bảo độ thẩm mỹ.
Gắn mắc cài điều trị răng thưa thiếu mầu răng
Nói tóm lại tình trạng răng nhỏ có thể thực hiện khắc phục bằng nhiều phương pháp thẩm mỹ nha khoa như niềng răng, bọc răng sứ hay hàn răng. Tùy tình trạng cụ thể thì bác sĩ sẽ có hướng điều trị khác nhau. Nếu bạn đang gặp tình trạng răng nhỏ thì hãy liên hệ với chúng tôi để được hỗ trợ tư vấn cụ thể nhé!
Xem thêm:
- Các loại niềng phổ biến hiện nay
- Bí quyết chọn vật liệu bọc răng sứ
- Bọc răng sứ có an toàn không, các bước bọc răng sứ
THÔNG TIN NHA KHOA ITALIANO
Cơ sở 1: Số 261 đường Hoàng Văn Thụ, phường Phan Đình Phùng, T.Thái Nguyên.
Cơ sở 2: Số nhà 522 - Phố Chợ 2, xã Đại Phúc, T.Thái Nguyên.( Cạnh cổng chợ Trung tâm Đại Từ)
Hotline: 0974 555 261 - 0976 742 228
Website: italianodental.com/
Facebook: www.facebook.com/Italianodental/
