Tin tức
- Trang chủ
- Tin tức
Niềng răng không nhổ răng Thái Nguyên
Niềng răng không phải nhổ răng là điều mà ai cũng mong muốn. Bởi vì mọi người thường có suy nghĩ nhổ răng sẽ ảnh hưởng hay sẽ phải đau nhức khi thực hiện nhổ răng. Bài viết bên dưới đây nha khoa Italiano sẽ nêu cho bạn những trường hợp không phải nhổ răng và phương pháp hạn chế nhổ răng khi niềng răng nhé!
1. Giới thiệu về phương pháp niềng răng
Niềng răng là một phương pháp hiệu quả giúp những ai đang gặp tình trạng răng hàm không được như mong muốn. Hiện nay thì có niềng răng bằng khay và niềng răng bằng mắc cài đều được mọi người ưa chuộng. Về hiệu quả nắn chỉnh răng của 2 phương thì đều giúp bạn có một hàm răng đều đặn sau quá trình thực hiện niềng răng. Tuy nhiên phương pháp nào thì trong một số trường hợp bạn sẽ vẫn phải thực hiện nhổ răng để tạo khoảng trống dịch chuyển răng.
Những vị trí thường được chỉ định nhổ răng là răng 4, răng 5 và răng 8. Vị trí răng 4, răng 5 là những răng hàm nhỏ thường được chỉ định nhổ trong những trường hợp cần tạo khoảng trống để dịch chuyển răng. Còn đối với vị trí răng 8 thì đây là chiếc răng được khuyến cáo nên nhổ bởi nó thường mọc ngầm, mọc lệch gây xô lệch các răng bên cạnh và có nhiều biến chứng sưng viêm sau này.

Niềng răng cải thiện tình trạng khớp cắn sâu,
2. Những trường hợp niềng răng không nhổ răng
Dưới đây là một số trường hợp niềng răng không phải thực hiện nhổ răng:
- Niềng răng cho trẻ em: Đa số những trường hợp niềng răng trong độ tuổi từ 10- 17 tuổi đều ít phải thực hiện nhổ răng bởi xương hàm trong giai đoạn này đang trong giai đoạn phát triển. Do vậy nên bác sĩ thường khuyên bạn nên thực hiện niềng răng sớm nhất để tối ưu được kết quả và hạn chế tối đa phải thực hiện niềng răng.
- Niềng răng trong trường hợp răng bị lệch lạc nhẹ: Trong trường hợp răng bị lệch nhẹ thì bác sĩ có thể sử dụng phương pháp xẻ kẽ để sắp đều các răng. Phương pháp này sẽ thường sử dụng trong trường hợp răng to và có hình tam giác, với trường hợp răng nhỏ thì có thể thực hiện nong rộng cung hàm để lấy khoảng kéo răng.
- Trong trường hợp răng bị thưa: Trong trường hợp răng thưa thì răng đã có khoảng trống rồi nên không cần phải thực hiện nhổ. Bác sĩ sẽ kéo dịch chuyển các răng dịch chuyển về sát khít với nhau, không còn khoảng trống trên cung hàm nữa.
- Người có vòm hàm rộng: Trong những trường hợp này thì dù răng bị khấp khểnh thì vẫn có khả năng dịch chuyển răng bởi vẫn đủ khoảng trống mà không cần phải nhổ răng để tạo khoảng trống.

Niềng răng không nhô răng.
3. Các phương pháp hỗ trợ niềng răng không nhổ răng
Dưới đây là các phương pháp hỗ trợ niềng răng không cần thực hiện nhổ răng:
- Dùng khí cụ nong hàm: Phương pháp này sử dụng rất hiệu quả ở trẻ emm và thanh thiếu niên khi xương hàm còn phát triển. Khi sử dụng khí cụ nong hàm thì sẽ có không gian hơn, giúp răng đủ chỗ mà không cần phải nhổ bỏ.
- Sử dụng minivis để tạo neo chặn: Đây là một loại neo chặn giúp bác sĩ kiểm soát lực kéo răng tốt hơn và tạo điều kiện di chuyển răng về vị trí mong muốn mà không làm ảnh hưởng đến các răng khác. Bác sĩ sẽ sử dụng minivis để đánh lún hoặc di xa răng. Khi sử dụng minivis giúp tăng hiệu quả di chuyển răng và tránh việc phải nhổ răng.
- Mài kẽ răng: Kỹ thuật này giúp thêm khoảng trống bằng cách mài rất mỏng lớp men răng giữa các răng không gây hại đến cấu trúc răng nhưng vẫn có thể tạo thêm khoảng trống để thực hiện niềng răng. Phương pháp này chỉ nên thực hiện mài tối đa từ 0,2- 0,5 mm/ răng để tránh làm răng bị yếu hỏng.
- Kết hợp điều chỉnh thói quen xấu: Đẩy lưỡi, mút tay, cắn môi,… có thể khiến cho răng bị mọc sai lệch nên khi niềng răng bạn sẽ cần sử dụng khí cụ chức năng và huấn luyện lại thói quen để tránh răng bị sai lệch thêm.

Niềng răng không nhổ răng,
4. Niềng răng không nhổ răng Thái Nguyên liệu hiệu quả không
Niềng răng không nhổ răng thì vẫn đảm bảo hiệu quả nếu như chỉ định đúng và bác sĩ thực hiện có kinh nghiệm chuyên môn. Trong những trường hợp lệch lạc không quá nhiều, răng thưa đủ khoảng, cung hàm rộng thì không nhổ răng vẫn có thể mang lại quá trình chỉnh nha hiệu quả. Lúc này khoảng răng cũng đủ để bác sĩ sắp đều răng cho bạn mà không cần phải thực hiện nhổ răng.
Tuy nhiên không phải trường hợp nào cũng có thể áp dụng được niềng răng không nhổ răng. Trong một số trường hợp nếu không thực hiện nhổ răng thì sẽ không thể đảm bảo được hiệu quả nắn chỉnh răng nếu như cung hàm quá hẹp. Ngoài ra trong một số trường hợp nó còn gây tình trạng chen chúc khấp khểnh tái phát, ảnh hưởng đến khớp cắn.
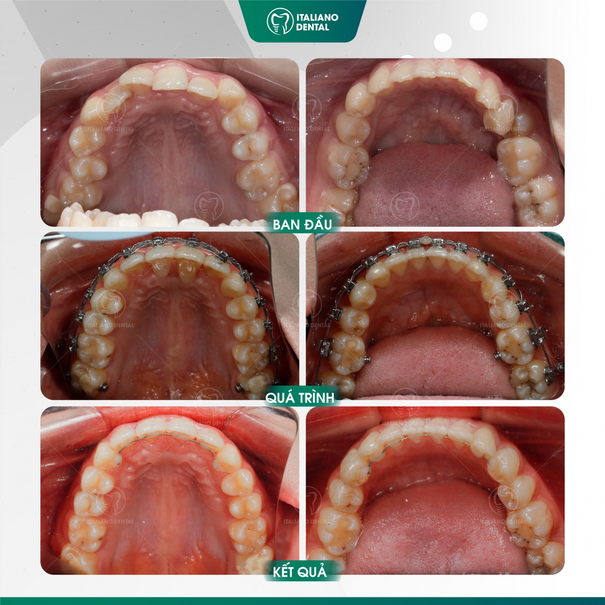
Cảm nhận của bạn khách hàng sau tháo mắc cài tại nha khoa Italiano
Tại nha khoa Italiano chúng tôi sẽ cố gắng sử dụng khí cụ và những kỹ thuật chỉnh nha tiên tiến nhất để đảm bảo hạn chế tối đa tình trạng nhổ răng cho bạn mà vẫn đảm bảo hiệu quả nắn chỉnh răng cao. Bạn sẽ được lên kế hoạch ngay từ hôm đầu thăm khám để đảm bảo bạn biết rõ lộ trình điều trị của mình và có thể điều chỉnh kế hoạch sao cho phù hợp nhất để đảm bảo thuận tiện nhất cho bạn khi niềng răng.
Bạn nên lựa chọn địa chỉ nha khoa uy tín, bác sĩ có chuyên môn sâu để đảm bảo đưa ra chỉ định đúng. Niềng răng không nhổ răng vẫn có thể đem lại hiệu quả nắn chỉnh răng tốt nên bạn không cần quá lo lắng mà hãy tin tưởng với bác sĩ thực hiện niềng răng cho mình. Hãy liên hệ với chúng tôi theo địa chỉ bên dưới đây để được hỗ trợ nhé!
Xem thêm:
- Chọn mắc cài kim loại hay mắc cài sứ Thái Nguyên
- Niềng răng hô có phải nhổ không?
- Đóng khoảng trong niềng răng
THÔNG TIN NHA KHOA ITALIANO
Cơ sở 1: Số 261 đường Hoàng Văn Thụ, phường Đồng Quang, TP Thái Nguyên.
Cơ sở 2: TDP Chợ 2, Thị trấn Hùng Sơn, H. Đại Từ, T. Thái Nguyên.( Cạnh cổng chợ Trung tâm Đại Từ)
Hotline: 0974 555 261 - 0976 742 228
Website: italianodental.com/
Facebook: www.facebook.com/Italianodental/
