Tin tức
- Trang chủ
- Tin tức
Răng bị đen ở mặt trong do đâu? Khắc phục như thế nào
Tình trạng răng bị đen ở mặt trong không chỉ làm ảnh hưởng đến thẩm mỹ mà còn có thể là cảnh báo về tình trạng sức khỏe răng miệng. Hãy cùng nha khoa Italiano tìm hiểu vấn đề này qua bài viết bên dưới đây để được hiểu rõ hơn về tình trạng này nhé!
1. Răng bị đen mặt trong là gì?
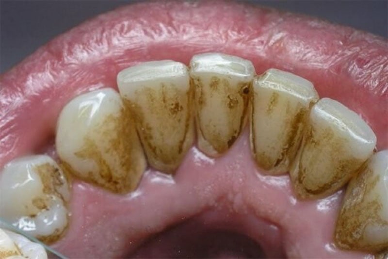
Răng bị đen ở mặt trong là tình trạng bề mặt phía trong của răng( tức là phần mặt phía răng phía lưỡi) xuất hiện các mảng sẫm màu có thể là màu nâu hoặc màu đen. Tình trạng này dù không đễ nhận biết khi cười nói hay giao tiếp nhưng nếu để lâu có thể gây ảnh hưởng đến sức khỏe răng miệng.
Nguyên nhân răng bị đen ở mặt trong:
- Mặt trong khó vệ sinh răng miệng: Do mặt bên trong của răng nên việc vệ sinh răng miệng khó khăn hơn nên dễ tạo cao răng, mảng bám.
- Không vệ sinh kẽ răng: Phần kẽ răng nếu chỉ đánh răng thông thường thì không sạch hoàn toàn được. Nếu bạn không xử dụng chỉ nha khoa thường xuyên có thể làm răng bị mảng đen hay thậm trí bị sâu ở vị trí này.
- Đốm sâu răng lan rộng: Sâu răng lan rộng thì có thể thấy răng bị đen và có lỗ sâu. Nếu không xử lý kịp thời thì còn có thể khiến sâu lây lan đến tủy răng và gây hỏng răng. Trong trường hợp răng bị sâu quá nặng không thể phục hồi thì bạn sẽ có nguy cơ phải nhổ bỏ răng và trồng răng mới.
- Do quá trình hút thuốc gây đen: Khói thuốc làm môi trường miệng khô hơn, giảm khả năng tự làm sạch của nước bọt nên làm cho vi khuẩn tích tụ nhanh hơn. Ngoài ra thì thành phần nicotine bám chặt lên bề mặt sẽ tạo màu vàng nâu và dần chuyển sang màu đen. Nếu bạn hút thuốc lâu năm sẽ làm cho bạn có nguy cơ làm cho nướu bị tụt, lộ chân răng và chân răng sẽ bị yếu đi.
- Do cao răng tích tụ: Đây là một trong những nguyên nhân phổ biến gây ra tình trạng răng bị đen ở mặt trong của răng. Cao răng hình thành do các mảng bám ở bên trên bề mặt của răng và cao răng chuyển hóa thành màu nâu đen sậm do không vệ sinh răng sạch sẽ được.
- Do bọc răng sứ kim loại: Tình trạng răng bị đen mặt trong có theree do bọc răng kim loại bị oxi hóa kết hợp với các vi khuẩn, mảng bám thức ăn không được vệ sinh kỹ dẫn đến tình trạng răng bị thâm đen ảnh hưởng đến cấu trúc thẩm mỹ của răng.

Răng bị đen mặt trong
2. Những ảnh hưởng khi bị đen ở mặt trong của răng
Dưới đây là một số những ảnh hưởng của tình trạng răng bị đen ở mặt trong của răng như sau:
- Gây mất thẩm mỹ: Tình trạng đen ở mặt trong của răng sẽ gây mất thẩm mỹ cho răng và toàn bộ cấu trúc của răng.
- Gây bệnh lý về răng miệng: Răng bị đen ở mặt bên trong sẽ tạo điều kiện lý tưởng để mảng bám tích tụ gây ra tình trạng viêm lợi, tụt nướu nếu không điều trị kịp thời.
- Nguy cơ lây lan: Vi khuẩn gây sâu răng có thể tấn công các răng khác
3. Cách xử lý khi bị đen ở mặt trong của răng
3.1 Lấy cao răng:

Nên lấy cao răng thường xuyên
Trong trường hợp răng bị mảng bám cao răng làm cho răng bị có những vết ố và đen thì việc lấy cao răng sẽ giúp bạn loại bỏ hoàn toàn. Thời gian thực hiện khoảng 30- 45 phút tùy từng mức độ cao răng của mỗi người. Bạn nên thực hiện lấy cao răng định kỳ 6 tháng/ lần để duy trì răng trắng sạch.
Cận cảnh quá trình lấy cao răng tại nha khoa Italiano
3.2 Điều trị răng sâu:
Nếu răng sâu thì bác sĩ sẽ tiến hành xử lý làm sạch toàn bộ mô sâu và bít kín lại bằng vật liệu chuyên dụng. Trong một số trường hợp răng bị sâu nặng đã bị ảnh hưởng tủy răng thì sẽ cần phải tiến hành điều trị tủy( loại bỏ hoàn toàn tủy viêm) và sau đó sẽ bọc răng sứ lại để duy trì độ bền của răng được đảm được lâu nhất.
3.3 Tẩy trắng răng:
Áp dụng khi răng bị đổi màu do thực phẩm hay đồ uống có màu. Phương pháp tẩy trắng răng sẽ giúp bạn có một hàm răng trắng sáng lên tone sau khi thực hiện tẩy trắng. Hiện nay có rất nhiều phương pháp tẩy trắng răng nên bạn hãy lựa chọn sản phẩm và phương pháp uy tín. Tốt nhất bạn nên thực hiện điều trị tại phòng khám để được bác sĩ kiểm soát tốt nhất.

Hình ảnh tẩy trắng răng
3.4 Vệ sinh răng miệng:
Bạn nên hạn chế ăn những đồ ăn có màu hay hút thuốc lá bởi vì những thực phẩm này sẽ khiến hàm răng của bạn bị đổi màu nhanh chóng. Thêm nữa là nên uống nước lọc sau khi ăn những thực phẩm dễ bị bám màu.
Bạn nên chú ý đánh răng ít nhất 2 lần/ ngày và dùng bàn chải lông mềm để làm sạch toàn bộ bề mặt răng. Bạn có thể sử dụng t hêm chỉ nha khoa, nước súc miệng để làm sạch toàn bộ răng.
Răng bị đen ở mặt trong cũng sẽ gây ảnh hưởng đến thẩm mỹ và có thể đây là dấu hiệu cạnh báo các bệnh lý về răng miệng. Nếu bạn nhận thấy răng của mình có tình trạng này thì nên đến thăm khám bởi bác sĩ chuyên khoa để có thể lựa chọn giải pháp phù hợp và bảo vệ hàm răng của mình được chắc khỏe. Hãy liên hệ với chúng tôi để được hỗ trợ tư vấn giải đáp cụ thể hơn về tình trạng răng của mình nhé!
Xem thêm:
- Lấy cao răng là gì và những điều cần biết về quá trình lấy cao răng
- Phương pháp tẩy trắng răng uy tín
- Răng có bị nhiễm màu sau khi tẩy trắng hay không?
THÔNG TIN NHA KHOA ITALIANO
Cơ sở 1: Số 261 đường Hoàng Văn Thụ, phường Phan Đình Phùng, T.Thái Nguyên.
Cơ sở 2: Số nhà 522 - Phố Chợ 2, xã Đại Phúc, T.Thái Nguyên.( Cạnh cổng chợ Trung tâm Đại Từ)
Hotline: 0974 555 261 - 0976 742 228
Website: italianodental.com/
Facebook: www.facebook.com/Italianodental/
