Tin tức
- Trang chủ
- Tin tức
Xử lý tình huống mắc cài bị bung hoặc gãy trong quá trình niềng răng
Trong quá trình niềng răng thì tình trạng bung hoặc gãy mắc cài là sự cố phổ biến và có thể ảnh hưởng đến quá trình niềng răng nếu như không xử lý kịp thời. Vậy cách xử lý tình huống mắc cài bị bung hoặc bị gãy trong quá trình niềng răng phải làm như thế nào? Bài viết nha khoa Italiano chúng tôi sẽ giải đáp cho bạn cụ thể hơn nhé!
1. Những nguyên nhân gây tình trạng bong mắc cài
Có nhiều nguyên nhân gây tình trạng mắc cài bị bung, gãy hoặc tuột ra khỏi răng làm ảnh hưởng đến hiệu quả điều trị. Một số nguyên nhân phổ biến sẽ bao gồm như sau:
- Ăn đồ ăn quá dai cứng hoặc dính: Một số loại thực phẩm như kẹo dẻo, đá lạnh, mía cứng,… sẽ tạo lực mạnh lên răng và mắc cài khi cần. Nếu lặp lại nhiều lần khiến lực này sẽ làm keo dán mắc cài bị nứt hoặc bật ra ngoài và mắc cài không còn bám chắc trên răng.
- Vệ sinh răng miệng không đúng cách, sử dụng lực quá mạnh chà vào mắc cài thì sẽ khiến cho mắc cài bị tuột. Ngoài ra việc sử dụng tăm xỉa răng quá mạnh cũng có thể làm hư hỏng dây cung và mắc cài.
- Va chạm mạnh khi chơi thể thao hoặc ngã: Khi chơi bóng, ngã xe vùng miệng có thể va đập trực tiếp khiên mắc cài bị bung.
- Chất gắn mắc cài yếu hoặc bị bong do nước bọt thừa trong quá trình gắn mắc cài khiến cho tích tụ mảng bám nhiều hownn và cản trở sự liên kết.
- Nha khoa không uy tín, bác sĩ không đủ chuyên môn khiến cho quá trình ăn uống dễ bị bung mắc cài hơn.
.png)
Mắc cài bị bung
2. Những dấu hiệu nhận biết bung mắc cài
Tình trạng bung mắc cài nhưng vẫn nằm trên dây thun và khiến cho bạn khó cố thể phát hiện khi niềng răng. Khi mắc cài bị bong hoặc gãy bạn sẽ có những biểu hiện như sau:
- Mắc cài lung lay, di chuyển khổi vị trí ban đầu. Nó có thể di chuyển lỏng lẻo trên dây cung và có thể kèm theo cảm giác khó chịu trên hàm răng.
- Dây cung bị tuột, đâm vào nướu hoặc má gây tình trangj đau nhức hoặc trầy xước da.
- Bị cộm vướng, khó chịu khi ăn nhai và phát âm hàng ngày
- Mắc cài bị rơi ra ngoài khi ăn uống, chải răng hay khi sinh hoạt bình thường.
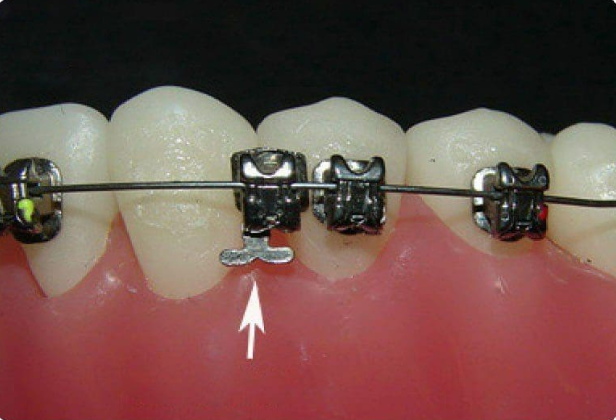
3. Cách xử lý khi mắc cài bị bung
Mắc cài bị bung là tình trạng phổ biến nhưng nếu không xử lý đúng cách thì có thể làm gián đoạn quá trình chỉnh nha. Dưới đây là các bước bạn nên làm khi gặp tình trạng mắc cài bị bung hoặc gãy trong quá trình chỉnh nha:
- Nếu như mắc cài chưa bị bung hẳn ra ngoài, vẫn còn dính trên dây cung thì bạn hãy giữ nguyên và báo với bác sĩ để đặt lịch hẹn gần nhất. Ngược lại nếu như mắc cài bị bung hẳn ra ngoài rồi thì bạn hãy giữ lại mắc cài để đem đến phòng khám bác sĩ kiểm tra và gắn lại. Không vứt bỏ mắc cài và dây cung nếu chúng bị rơi ra.
- Nếu dây cung, mắc cài bị tuột và đâm vào má hoặc lợi thì có thể sử dụng sáp nha khoa để bọc lại đầu đây cung để tránh trầy xước trong khoang miệng. Thường bác sĩ sẽ cung cấp cho bạn loại sáp này để hỗ trợ bạn trong quá trình chỉnh nha.
- Ăn những đồ ăn mềm, tránh đồ dai cứng và tránh nhai bên mắc cài bị bong dể tránh nuốt mắc cài hay hỏng mắc cài không thể tái sử dụng được.
- Không cố gắn lại mắc cài hay tự ý tháo mắc cài bởi có thể ảnh hưởng đến mắc cài.
Bên trên là những phương án tạm thời bạn nên thực hiện khi bị bung hoặc gãy mắc cài. Bạn nên đến nha khoa càng cớm càng tốt để bác sĩ kịp thời xử lý tránh những biến chứng không mong muốn khi thực hiện niềng răng.
Nếu trong trường hợp bị bị bung tột mắc cài liên tiếp thì có thể do vấn đề kỹ thuật hoặc quá trình ăn uống chưa phù hợp. Bạn hãy tìm hiểu nguyên nhân để có hướng điều chỉnh sao cho phù hợp. Trong trường hợp bị bung tuột quá nhiều thì quá trình niềng răng cũng sẽ bị kéo dài hơn và có thể ảnh hưởng đến kết quả của quá trình niềng răng.

Xử lý mắc cài bị bung
Những điều cần chú ý khi bị bong mắc cài khi niềng răng nha khoa Italiano
4. Cách phòng tránh tình trạng mắc cài bị bung hoặc gẫy khi đeo niềng
Để hạn chế tình trạng bị bong tuột mắc cài bạn có thể áp dụng một số biện pháp như sau:
- Tuân thủ theo chế độ ăn uống của bác sĩ; tránh đồ dai cứng hay dẻo. Bạn có thể cắt nhỏ đồ ăn để quá trình ăn uống thuận tiện hơn. Quá trình ăn uống là yếu tố quyết định chủ yếu đến sự bung tuột của măc
- Đánh răng nhẹ nhàng bằng bàn chải lông mềm, bàn chải kẽ và máy tăm nước để làm sạch răng hiệu quả.
- Tái khám định kỳ theo đúng lịch hẹn của bác sĩ để điều chỉnh mắc cài phù hợp.
- Khi chơi thể thao nên đeo dụng cụ bảo vệ răng để giảm va chạm vào răng, tránh bong tuột mắc cài.
Nếu như bạn bị bong mắc cài thì hãy xử lý đúng cách theo phương pháp nha khoa Italiano hướng dẫn bên trên để có thể tránh được các biến chứng hoặc ảnh hưởng đến quá trình điều trị. Liên hệ với nha khoa Italiano để được chúng tôi hỗ trợ tư vấn thêm cũng như giải đáp thêm các vấn đề răng miệng khác nhé!
Xem thêm:
- Cần chú ý gì sau khi gắn mắc cài về
- Những hình ảnh niềng răng thành công
- Các loại niềng răng hiện nay
THÔNG TIN NHA KHOA ITALIANO
Cơ sở 1: Số 261 đường Hoàng Văn Thụ, phường Phan Đình Phùng, T.Thái Nguyên.
Cơ sở 2: Số nhà 522 - Phố Chợ 2, xã Đại Phúc, T.Thái Nguyên.( Cạnh cổng chợ Trung tâm Đại Từ)
Hotline: 0974 555 261 - 0976 742 228
Website: italianodental.com/
Facebook: www.facebook.com/Italianodental/
