Tin tức
- Trang chủ
- Tin tức
Tụt lợi chân răng phải làm sao
Tụt lợi chân răng là tình trạng không phải hiếm gặp nó gây ảnh hưởng cả phần thẩm mỹ và còn ảnh hưởng lớn đến sức khỏe của răng miệng. Vậy nếu như tụt lợi ở chân răng phải làm sao? Trong bài viết bên dưới đây của nha khoa Italiano chúng tôi sẽ giúp bạn hiểu rõ hơn về tình trạng tụt lợi và hướng xử lý nhé!
1. Tụt lợi là gì?
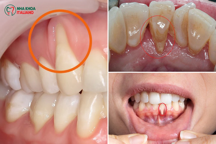
Tụt lợi là tình trạng nướu bị kéo ra khỏi vị trí thông thường gây tình trạng lộ ra bề mặt chân răng. Triệu chứng rõ ràng nhất của tụt lợi chính là nướu bị co rút và thu hẹp đáng kể và gây ra tình trạng lộ chân răng khiến cho răng bị lung lay hoặc gây mất răng nếu như không xử lý điều trị kịp thời.
Những dấu hiệu nhận biết tình trạng tụt lợi:
- Chân răng dễ bị chảy máu khi đánh răng hoặc khi sử dụng chỉ nha khoa
- Nướu sưng đỏ, đau nhức và khó chịu
- Hơi thở có mùi hôi
- Chân răng bị lộ khiến cho răng trở nên nhạy cảm, ê buốt khi tiếp xúc với đồ ăn nóng, lạnh,…
- Răng lỏng lẻo, dễ lung lay,…

Hình ảnh tụt lợi chân răng,
2. Những nguyên nhân gây ra tình trạng tụt lợi
Tụt lợi có thể xảy ra do nhiều nguyên nhân khác nhau trong đó phổ biến là những nguyên nhân dưới đây:
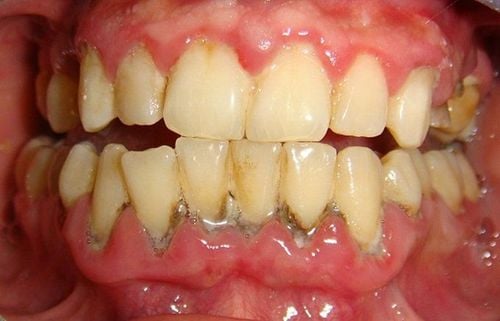
- Do các bệnh lý về lợi: Viêm nha chu là một trong những tình trạng bệnh lý phổ biến gây ra tác hại nghiêm trọng vùng nướu hoặc phá hủy mô nha chu gây tình trạng tụt lợi.
- Do chăm sóc răng miệng không đúng cách: Quá trình đánh răng không đúng cách, không sử dụng chỉ nha khoa hay không lấy cao răng định kỳ, sinh hoạt không lành mạnh thì có thể khiến cho răng bị tích tụ mảng bám, lâu dần gây viêm nhiễm và tụt lợi. Việc chải răng quas mạnh hoặc theo chiều ngang cũng có thể làm tổn thương lợi và làm lợi bị tụt.
- Do thay đổi nội tiết tố: Phụ nữ mang thai, tuổi dậy thì, thời kỳ mãn kinh có thể thay đổi nội tiết tố, hormone trong cơ thể và gây ra tình trạng lợi bị nhạy cảm, viêm lợi và tụt lợi.
- Thói quen nghiến răng: Việc nghiến răng sẽ tạo áp lực lên trên răng và mô nha chu là cho lợi bị đẩu lùi tụt xuống.
- Khớp cắn lệch, răng mọc sai vị trí: Khi khớp cắn lệch sẽ khiến cho lực nhai không đều, làm cho mô nướu bị kéo căng và tổn thương từng vùng lợi. Tình trạng này có thể gây tình trạng tụt lợi không đều và chỉ ở một số răng nhất định.
- Thói quen sử dụng tăm xỉa răng thay vì sử dụng chỉ nha khoa cũng có thể làm cho phần lợi bị tổn thương. Hay nếu như bạn sử dụng máy tăm nước quá mạnh cũng có thể làm cho phần lợi bị ảnh hưởng.

Cao răng mảng bám gây viêm nha chu tụt lợi chân răng,
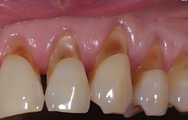
3. Những ảnh hưởng của tình trạng tụt lợi
Dưới đây là một số những ảnh hưởng của tình trạng bị tụt lợi:
- Tăng nguy cơ bị sâu răng: Do chân răng bị lộ nên dễ bị axit và vi khuẩn tấn công gây tình trạng sâu răng ở phần gốc răng. Tình trạng này sẽ khó phục hồi và dễ bị lan rộng nếu không xử lý kịp thời.
- Ảnh hưởng đến thẩm mỹ: Tụt lợi làm cho răng trông dài hơn, không đều nên gây mất thẩm mỹ khi cười. Điều này có thể khiến cho người bệnh bị mất tự tin khi giao tiếp.
- Dễ bị viêm nướu và nhiễm trùng: Khi răng bị tụt nướu thì thường kèm theo tình trạng viêm nướu. Vi khuẩn tổn thương nướu gây ra tình trạng viêm nặng, chảy máu và mùi hôi miệng.
- Răng trở nên nhạy cảm khi sử dụng thực phẩm có độ nóng hay lạnh. Do phần nướu tụt nên phần chân răng không được bảo vệ nên dẫn đến hiện tượng răng bị ê buốt. Hay trong một số trường hợp thì đồ chua hoặc ngọt cũng bị tình trạng ê buốt.
- Lung lay răng hay thậm chí là mất răng: Khi nướu bị tụt sâu, xương ổ răng cũng bị tiêu đi nhiều. Nếu như không điều trị kịp thời thì răng sẽ mất điểm tựa và răng sẽ bị lung lay hay rụng răng.

Ảnh hưởng của tụt lợi chân răng.
4. Cách xử lý khi bị tụt lợi
Khi bạn phát hiện ra tình trạng lợi của bạn bị tụt thì nên xử lý sớm để tránh biến chứng ê buốt kéo dài. Dưới đây là một số cách khắc phục hiệu quả như sau:
- Chăm sóc răng miệng đúng cách tại nhà:
+ Chải răng bằng bàn chải lông mềm nhẹ nhàng theo chiều dọc và xoay tròn, tránh chải ngang là tổn thương vùng lợi.
+ Chọn loại kem đánh răng chuyên dụng để giúp bạn giảm tình trạng ê buốt và tăng cường bảo vệ chân răng.
+ Sử dụng chỉ nha khoa và nước súc miệng để làm sạch kẽ răng, loại bỏ mảng bám, giảm nguy cơ viêm nướu và tụt lợi.
+ Không xỉa răng hay không hút thuốc lá để tránh bệnh lý nha chu từ sớm.

Chăm sóc răng miềng đúng cách.
- Điều trị nha khoa:
+ Lấy cao răng, điều trị viêm lợi nếu trong trường hợp nhẹ. Đây có thể được coi là biện pháp đầu tiên trong quá trình điều trị tụt lợi. Quá trình này bác sĩ sẽ loại bỏ mảng bám, vi khuẩn nằm sâu dưới nướu.
+ Phẫu thuật ghép nướu trong trường hợp tụt lợi nghiêm trọng, lộ chân răng nhiều. Quá trình này bác sĩ sẽ dùng nướu ở vùng khác trong khoang miệng để che phủ phần chân răng bị lộ giúp phục hồi thẩm mỹ.
+ Điều trị nha chu chuyên môn sâu: Trong trường hợp tụt lợi do viêm nha chu thì bác sĩ sẽ tiến hành làm sạch sâu dưới nướu và kết hợp uống kháng sinh.
+ Sử dụng máng chống nghiến nếu do nghiến răng
- Tái khám định kỳ theo lịch hện của bác sĩ để phát hiện tình trạng răng của mình, ngoài ra còn nên lấy cao răng để duy trì sức khỏe răng miệng luôn được tốt nhất.
Video cận cảnh quá trình ghép lợi khắc phục tình trạng tụt lợi của bác sĩ nha khoa Italiano
Tụt lợi chân răng sẽ không thể tự khỏi và nếu như kéo dài quá lâu thì còn có thể gây ra những biến chứng nguy hiểm đến sức khỏe răng miệng. Vậy nên khi có dấu hiệu bất thường ở nướu răng thì hãy đến nha khoa để được thăm khám điều trị kịp thời. Việc kết hợp điều trị nha khoa và chăm sóc tại nhà sẽ giúp bạn phục hồi nhanh chóng hơn. Hãy liên hệ với chúng tôi để được hỗ trợ giải đáp thêm nhé!
Xem thêm:
- Cách vệ sinh răng miệng đúng cách
- Chưa viêm lợi dứt điểm và các nguyên tắc bạn nên biết
- Lấy cao răng như thế nào
THÔNG TIN NHA KHOA ITALIANO
Cơ sở 1: Số 261 đường Hoàng Văn Thụ, phường Đồng Quang, TP Thái Nguyên.
Cơ sở 2: TDP Chợ 2, Thị trấn Hùng Sơn, H. Đại Từ, T. Thái Nguyên.( Cạnh cổng chợ Trung tâm Đại Từ)
Hotline: 0974 555 261 - 0976 742 228
Website: italianodental.com/
Facebook: www.facebook.com/Italianodental/
