Tin tức
- Trang chủ
- Tin tức
Niềng răng bị rơi mắc cài phải làm sao
Niềng răng là quá trình dài và trong quá trình này không ít người gặp phải tình huống bị rơi tuột mắc cài. Tình trạng này thường gặp nhưng cũng gây những sự lo lắng cho người bị. Vậy niềng răng bị rớt mắc cài phải làm sao? Trong bài viết bên dưới đây nha khoa Italiano chúng tôi sẽ giúp bạn hiểu rõ hơn về tình trạng và cách xử lý khi mắc cài bị rơi nhé!
1. Niềng răng mắc cài và tình trạng rơi mắc cài khi niềng răng
Niềng răng mắc cài là phương pháp chỉnh nha sử dụng mắc cài gắn cố định lên trên bề mặt của răng kết hợp với dây cung để tạo lực kéo dịch chuyển răng về đúng vị trí trên cung hàm. Mỗi dòng mắc cài sẽ có những ưu nhược điểm và mức chi phí khác nhau nên tùy vào nhu cầu của mỗi người mà có thể lựa chọn các loại mắc cài như:
- Mắc cài kim loại truyền thống
- Mắc cài tự buộc
- Mắc cài sứ
- Mắc cài mặt trong

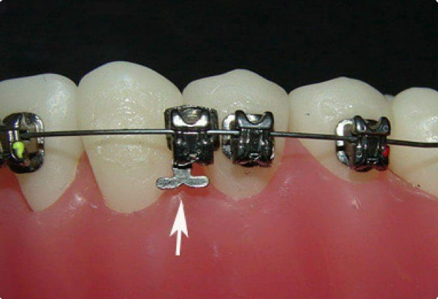
Những dấu hiệu nhận biết tình trạng bung mắc cài như sau:
- Mắc cài lỏng lẻo, di chuyển được trên dây cung
- Mắc cài bong hẳn ra khỏi dây cung hoặc nhô ra ngoài. Lúc này mắc cài có thể bị đâm vào môi má gây trầy xước niêm mạc.
- Bạn nhận thấy sự đau nhức khó chịu tại vị trí nào đó trên hàm răng do mắc cài bị đẩy xô lệch sai vị trí.
- Có âm thanh lạ khi ăn hoặc khi vệ sinh răng miệng. Đó là do mắc cài lỏng va chạm với dây cung hoặc răng.
2. Những nguyên nhân dẫn đến tình trạng bị rơi mắc cài
Bị bung mắc cài có nhiều nguyên nhân sau đây:
- Chải răng quá mạnh: Một trong những nguyên nhân gây tuột mắc cài là thói quen chải răng quá mạnh tạo áp lực lớn cho xương hàm, làm tổn thương đến phần lợi và làm bung mắc cài trên răng.
- Ăn đồ ăn quá dai cứng: Khi đồ dai quá cứng sẽ khiến bạn có thể vướng vào mắc cài và khiến nó bị rơi ra.
- Tuột mắc cài do mất độ bám dính: Trường hợp răng bị canxi hóa có thể làm cho răng bị mất độ bám dính và từ đó khiến mắc cài khó giữ được trên răng và dễ bị bung tuột.
- Va đập, chấn thương gây bong bật mắc cài: Khi chỉnh nha bệnh nhân sẽ được bác sĩ khuyên nên hạn chế những hoạt động có tác động mạnh đến răng. Khi bị va đập như vậy thì có thể khiến cho bạn bị chấn thương răng và làm bong cả mắc cài.
- Keo gắn mắc cài bị yếu hoặc không đảm bảo chất lượng thì có thể khiến mắc cài gắn không được chắc chắn.
3. Niềng răng bị rơi mắc cài phải làm sao
Mắc cài sẽ giúp tác động lực dịch chuyển răng ổn định vì thế nếu như mắc cài bị bung tuột lâu sẽ khiến dây cung bị lỏng lẻo, giảm lực nắn chỉnh răng và khiến bạn bị kéo dài thời gian và răng cũng bị dịch chuyển sai lệch, ảnh hưởng lớn đến quá trình chỉnh nha. Không những vậy tình trạng tuột mắc cài còn có thể gây trầy xước, tổn thương mô mềm bên trong miệng. Nặng hơn là người bệnh có nguy cơ nuốt mắc cài vào trong bụng.
Dưới đây là phương pháp xử lý khi bị rơi mắc cài:
- Kiểm tra tình trạng mắc cài: Xem mắc cài có bị dính lên trên răng hay rơi hoàn toàn ra chưa, có bị vướng víu hay làm tổn thương mô mềm hay không,…
- Giữ lại mắc cài bị tuột: Nếu trong trường hợp mắc cài bị tuột hẳn ra thì phải giữ lại mắc cài và mang theo khi gặp bác sĩ.
- Hạn chế ăn nhai ở vùng bên mắc cài bị rơi: Ăn những đồ ăn mềm, tránh ăn nhai khu vực có mắc cài bị rơi. Ngoài ra nên ăn nhai nhẹ nhàng, tránh tác động mạnh đến khu vực bị bong tuột mắc cài.
- Báo với bác sĩ về tình trạng mắc cài bị rơi: Đặt lịch với bác sĩ sớm nhất để kiểm tra tình trạng răng cũng như gắn lại mắc cài rơi. Bạn không nên trì hoãn việc gắn lại mắc cài bởi nó sẽ ảnh hưởng đến việc dịch chuyển răng.
Những hướng dẫn của bác sĩ nha khoa Italiano khi bạn không may bị bong mắc cài
4. Những phương pháp giúp bạn hạn chế bị rơi mắc cài
Để giảm thiểu tình trạng mắc cài bị rơi trong quá trình niềng răng thì bạn có thể áp dụng các phương pháp đơn giản dưới đây:
- Tuân thủ hướng dẫn ăn uống của bác sĩ: Tránh ăn những đồ ăn quá cứng, dẻo, dính,… những đồ ăn này có thể gây hỏng hoặc bung mắc cài..
- Chải răng đúng cách: Dùng bàn chải mềm và không chải răng quá mạnh sẽ khiến cho mắc cài không còn chắc chắn.
- Tránh vận động thể thao mạnh: Bạn có thể sử dụng thêm dụng cụ để bảo vệ khi chơi thể thao.
- Tái khám định kỳ: Việc tái khám định kỳ giúp bác sĩ kiểm tra và điều chỉnh hệ thống mắc cài kịp thời. Nếu có bất kỳ sự lỏng lẻo nào thì bác sĩ sẽ xử lý ngay, tránh nguy cơ mắc cài bị rơi tuột ra ngoài.
Mắc cài bị rơi là sự cố không phải hiếm gặp trong quá trình niềng răng nhưng nếu như không được xử lý kịp thời và đúng cách thì sẽ gây ảnh hưởng đến quá trình điều trị. Bạn hãy tuân thủ theo những hướng dẫn chăm sóc răng miệng của bác sĩ, tái khám định kỳ để đảm bảo quá trình niềng răng diễn ra thuận lợi. Nếu cần hỗ trợ giải đáp thắc mắc gì thêm hãy liên hệ với chúng tôi theo địa chỉ bên dưới đây nhé!
Xem thêm:
- Niềng răng nên ăn gì và kiêng ăn gì?
- Ngủ khi niềng răng thế nào là đúng chuẩn
- Hướng dẫn nhai đúng cách khi đeo niềng
THÔNG TIN NHA KHOA ITALIANO
Cơ sở 1: Số 261 đường Hoàng Văn Thụ, phường Phan Đình Phùng, T.Thái Nguyên.
Cơ sở 2: Số nhà 522 -Phố Chợ 2, xã Đại Phúc, T.Thái Nguyên.( Cạnh cổng chợ Trung tâm Đại Từ)
Hotline: 0974 555 261 - 0976 742 228
Website: italianodental.com/
Facebook: www.facebook.com/Italianodental/
